تصنف متلازمة XXXX من الاضطرابات الكروموسومية، وهي تصيب الإناث فقط وتنتج عن وجود 4 نسخ من كروموسوم إكس X بدلا من نسختين. فما أعراضها؟ وهل هناك علاج؟
ما هو كروموسوم X إكس؟
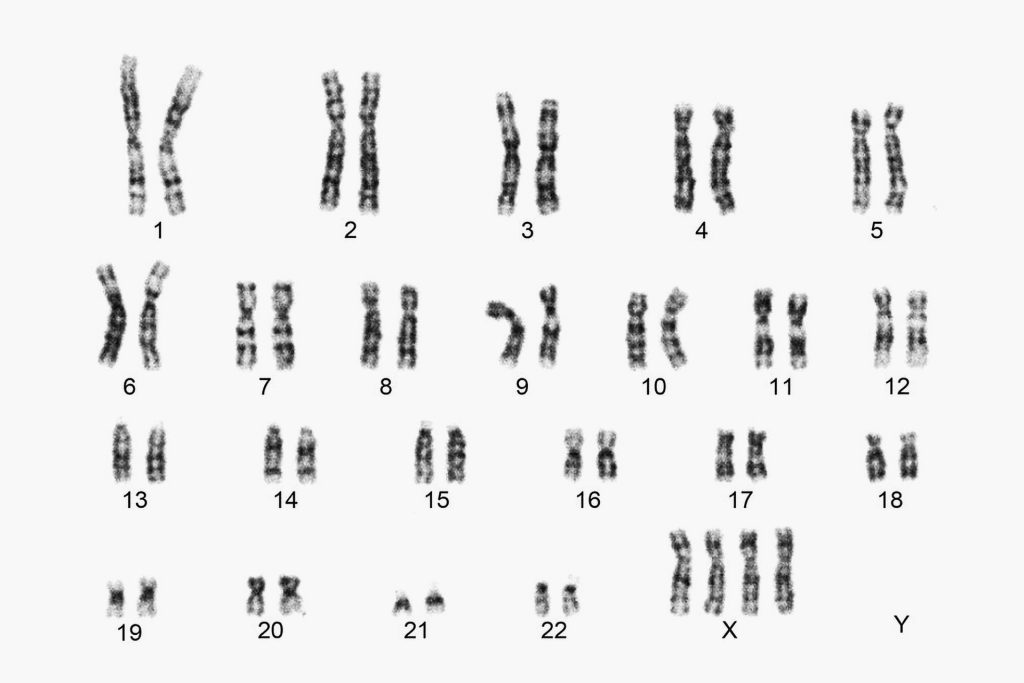
تحتوي الخلايا البشرية -باستثناء خلايا الحيوانات المنوية والبويضات- على 46 كروموسوما هي مخزن المادة الوراثية، وتأتي هذه الكروموسومات في 23 زوجا، كل كروموسومين على حدة، 22 زوجا منها تسمى بالكروموسومات الجسمية، والزوج الأخير تسمى كروموسوماته بالجنسية، فهو يحدد جنس الشخص، فالأنثى يكون لديها هذا الزوج مكونا من كروموسومي X، ويكتب XX، أما الذكر فيحتوي على جين Y وآخر X، ولذلك يكتب XY.
وتصيب متلازمة XXXX الإناث فقط، وتنتج عن وجود 4 نسخ من كروموسوم إكس بدلا من نسختين. لدى الإناث المصابات بها إجمالي 48 كروموسوما في خلاياهن، لذلك يتم كتابة هذه الحالة أحيانا باسم متلازمة إكس إكس إكس إكس، 48.
أسماء أخرى لمتلازمة XXXX
- “متلازمة إكس إكس إكس إكس، 48” (48 XXXX syndrome)
- “رباعي إكس” (Quadruple X)
- “تيترا إكس” (Tetra X)
- “رباعي الصبغي إكس” (Tetrasomy X)
كيف تحدث متلازمة XXXX ؟
تحدث “متلازمة XXXX بسبب طفرات جينية، تعرف أيضا باسم المتغيرات المسببة للأمراض. يمكن أن تكون الطفرات الجينية وراثية، عندما ينقلها الآباء إلى أطفالهم، أو قد تحدث بشكل عشوائي عندما تنقسم الخلايا. قد تنجم الطفرات الجينية أيضا عن الفيروسات المصابة، أو العوامل البيئية، مثل الأشعة فوق البنفسجية الناتجة عن التعرض لأشعة الشمس، أو مزيج من أي من هذه العوامل.
تختلف علامات وأعراض متلازمة XXXX، ولكنها يمكن أن تشمل صعوبات خفيفة إلى متوسطة في النطق والتعلم، تأخر النمو، تشوهات الأسنان، عيوب القلب، تشوهات مفصل الفخذ، ومشاكل في وظيفة المبيض. كما تم الإبلاغ عن زيادة خطر الإصابة بالعدوى في مرحلة الطفولة.
عمر ظهور أعراض متلازمة XXXX
قد تبدأ الأعراض العمرية بالظهور بشكل يختلف بين الأمراض. قد تبدأ الأعراض في فئة عمرية واحدة، أو خلال عدة فئات عمرية. قد تبدأ أعراض بعض الأمراض في أي عمر.
أعراض متلازمة XXXX
- تشوهات في الأسنان.
- ضعف الإدراك
- عجز في التفكير أو الاستدلال أو التذكر.
- تأخر في النمو الحركي والعقلي للطفل، بما في ذلك المهارات الحركية والكلام واللغة، والمهارات المعرفية، والمهارات الاجتماعية والعاطفية.
- زيادة المسافة بين العينين.
- ضعف العضلات.
- زيادة الحركة والمرونة في المفاصل، مما يجعلها تتحرك خارج نطاق الحركة المتوقع.
- صعوبات التعلم.
- الحول.
- تشوهات مفصل الفخذ.
- تشوهات القلب والأوعية الدموية.
- خلل في الجهاز المناعي.
- قصور المبيض المبكر، مما يؤدي إلى انقطاع الطمث قبل سن الأربعين.
علاج متلازمة XXXX
لا يمكن إصلاح الخطأ الكروموسومي الذي يسبب متلازمة XXXX، بالتالي فإن المتلازمة نفسها ليس لها علاج. يعتمد العلاج على التعامل مع الأعراض وتقليلها مثل صعوبات التعلم.












