صحة وجمال
اكتشف أحدث المعلومات والنصائح في مجال الصحة والطب، مع تغطية شاملة لأخبار الصحة والعلاجات والمستجدات الطبية على الشرق اليوم
يحتفل العالم اليوم الأحد 7 أبريل/نيسان 2024 بيوم الصحة العالمي، وبهذه المناسبة تفتح الجزيرة المجال للأطباء ومتخصصي الرعاية الصحية للمشاركة في صناعة المحتوى الطبي. وضمن جهود (الجزيرة صحة) ومنصاتها الرقمية لتقديم المعلومة الموثوقة والوصول للجمهور العربي في منطقتنا العربية والعالم، نعمل في الفترة القادمة على توسيع قائمة المشاركين والمساهمين في…
قالت متحدثة منظمة الصحة العالمية، مارغريت هاريس، إن الزيادة مستمرة في معدلات الإصابة بالأمراض المعدية في قطاع غزة، حيث المنظومة الصحية تكاد تعمل في ظل حرب إسرائيلية مدمرة منذ 6 أشهر. جاء ذلك في مقابلة أجرتها وكالة الأناضول مع هاريس، تزامنا مع الاحتفالات الدولية بمناسبة يوم الصحة العالمي الذي يوافق…
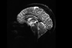
نشرت هيئة الطاقة الذريّة في فرنسا صورة هي الأدق على الإطلاق لدماغ إنسان بعد تلقيهم الضوء الأخضر لاستخدام أقوى جهاز تصوير بالرنين المغناطيسي. وكانت السلطات المعنية قد تمهلت في منح التصريح بعد أن استُخدم الجهاز لأوّل مرة عام 2021 لتصوير ثمار اليقطين، ولكن خلال الأشهر القليلة الماضية تقدم نحو 20…
قالت جمعية الهيموفيليا الألمانية إن متلازمة “فون ويليبراند” (Von Willebrand Syndrome) هي اضطراب وراثي في تخثر الدم يؤدي إلى حدوث النزيف بسهولة أكبر، مشيرة إلى أنه تمت تسمية هذه المتلازمة على اسم الطبيب الفنلندي إريك فون ويلبراند الذي يعد أول من قام بتشخيصها. وأضافت الجمعية أن المصابين بهذه المتلازمة لديهم…
قالت مؤسسة الدماغ الألمانية إن مرض الساركويد العصبي عبارة عن أورام حبيبية تنشأ في الجهاز العصبي، مشيرة إلى أنه يمكن أن يتأثر كل من الجهاز العصبي المركزي (أي الدماغ والحبل الشوكي) والجهاز العصبي المحيطي (جميع الأعصاب خارج الدماغ والحبل الشوكي). وأوضحت المؤسسة أن الساركويد العصبي يمكن أن يؤدي إلى التهاب…
بفضل تقنيات الطباعة الإلكترونية ثلاثية الأبعاد ودراسات متخصصة في الطب والهندسة، نجح فريق من الباحثين بالولايات المتحدة في تطوير آذان بشرية صناعية تبدو طبيعية من حيث الشكل والملمس. وبحسب الدراسة التي نشرتها الدورية العلمية “آكتا بيوماتيريليا” (Acta Biomaterialia)، توفر الأذن الصناعية بديلا مثاليا لمن يعانون من مشكلات خلقية في الأذن…
توصل باحثون إلى أن السجائر الإلكترونية تزيد بنسبة كبيرة خطر الإصابة بقصور القلب. وقال الباحثون، وفق صحيفة التلغراف البريطانية، إن مدخني السجائر الإلكترونية كانوا أكثر عرضة بنسبة 19% للمعاناة من قصور القلب، مقارنة بأولئك الذين لم يستخدموا السجائر الإلكترونية مطلقا. وخضع أكثر من 175 ألف شخص بالغ بالولايات المتحدة، من…
ارتفع متوسط العمر العالمي المتوقع بمقدار 6.2 سنوات خلال الفترة من 1990 إلى 2021، على الرغم من انخفاضه بين عامي 2019 و2021 بسبب جائحة فيروس كورونا، حسبما ذكرت مجموعة بحثية بجامعة واشنطن في دورية “ذا لانسيت”. وتم إدراج “كوفيد 19” على أنه السبب الثاني الأكثر شيوعا للوفاة في عام 2021…
يعد عالم الأحلام مزيجا من التجارب والأفكار والأشخاص تندمج في كتلة غريبة تبدو منطقية بطريقة ما في اللحظة التي تعيشها فيها (أو بالأحرى، تحلم بها). فكيف تحدث الأحلام؟ وما فوائدها للصحة؟ ولماذا لا نتذكر الحلم بعد الاستيقاظ؟ ما الأحلام؟ الأحلام هي صور أو نشاط ذهني يحدث أثناء النوم. يمكنك أن…
يقال إن النوم الكافي هو أحد طرق النجاح. فلا يمكن للإنسان أن يصل إلى القمة إذا لم يعط جسده حقه الكامل في النوم، فلا تبخل على نفسك. ولكن كيف تحقق ذلك؟ في الحقيقة إن العديد من البشر لا يحصلون على قسط كافٍ من النوم، فالبعض يشعر بصعوبة كبيرة في إغماض…
اشترك في النشرة البريدية
اشترك معنا في النشرة البريدية ليصلك جميع اخبار المملكة العربية السعودية والعالم لحظة بلحظة على بريدك الإلكتروني.












