الكاتب: فريق التحرير
ظهرت نسخة من هذه القصة لأول مرة في نشرة CNN Business قبل الجرس الإخبارية. لست مشتركا؟ يمكنك الاشتراك هنا. يمكنك الاستماع إلى النسخة الصوتية من النشرة الإخبارية بالضغط على نفس الرابط. لقد مر عام منذ انهيار بنك وادي السيليكون والأزمة المصرفية الإقليمية في الولايات المتحدة التي تلت ذلك. ومن وجهة…
آخر تحديث: 11 مارس 2024 الساعة 08:11 بتوقيت شرق الولايات المتحدة | 1 دقيقة قراءة البيانات الموجودة على السلسلة من Lookonchain عروض قام أحد تجار العملات الميمية بتحويل مبلغ 1.7 مليون دولار من عملة PEPE، وهي عملة ميمي مشهورة، إلى ربح قدره 8.13 مليون دولار، محققًا مكاسب ملحوظة بنسبة 431٪…
أعلنت شركة “نينتندو” اليابانية لألعاب الفيديو أن شخصيتها الشهيرة “ماريو” ستعود إلى شاشات السينما في العام 2026، بعدما حقق فيلمها الأول نجاحا واسعا جعله يحتل المركز الثاني في ترتيب إيرادات شباك التذاكر على مستوى العالم. وأوضحت الشركة في مقطع فيديو نشرته أن الفيلم الجديد الذي يضم الشخصيات الرئيسية لألعابها، سيُطرح…
يعد عرق السوس أحد المشروبات المميزة على مائدة الإفطار في شهر رمضان المبارك، وذكره الطبيب العربي ابن البيطار، فقال “أنفع ما في نبات عرق السوس عصارة أصله، فهو دواء لأمراض الحلق والكبد إذا وضعته تحت اللسان، وعلاج لالتهابات المعدة وأمراض الصدر إذا مضغته، وإذا شربته قطع العطش”. عشبة معمرة وعرق…
قالت الرئاسة الفرنسية إن الرئيس إيمانويل ماكرون سيزور أوكرانيا خلال الأسابيع المقبلة، في ثاني تأجيل لزيارة كانت مقررة منذ فبراير/شباط الماضي، وتزامن ذلك مع مناقشة مرتقبة في البرلمان الفرنسي حول إستراتيجية باريس لدعم أوكرانيا. وتحدث ماكرون في بادئ الأمر عن عزمه التوجه إلى أوكرانيا في الشهر الماضي لتوقيع اتفاق أمني…
انتقد محللون سياسيون وعسكريون إسرائيليون -في نقاشاتهم على قنوات إعلامية إسرائيلية- تصميم حكومة بنيامين نتنياهو على الاستمرار في حربها على قطاع غزة دون تحقيق أي تقدم، كما تطرقوا للتطورات في الضفة الغربية والمسجد الأقصى. وقال محلل الشؤون السياسية في القناة 13، أيال بيركوفيتش، إن الولايات المتحدة الأميركية لم تعد إلى…
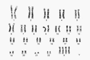
تصنف متلازمة XXXX من الاضطرابات الكروموسومية، وهي تصيب الإناث فقط وتنتج عن وجود 4 نسخ من كروموسوم إكس X بدلا من نسختين. فما أعراضها؟ وهل هناك علاج؟ ما هو كروموسوم X إكس؟ تحتوي الخلايا البشرية -باستثناء خلايا الحيوانات المنوية والبويضات- على 46 كروموسوما هي مخزن المادة الوراثية، وتأتي هذه الكروموسومات…
رفع وزير الخارجية الأمير فيصل بن فرحان بن عبدالله، باسمه ونيابةً عن منسوبي وزارة الخارجية كافة، التهنئة إلى خادم الحرمين الشريفين الملك سلمان بن عبدالعزيز آل سعود، ولولي العهد رئيس مجلس الوزراء الأمير محمد بن سلمان بن عبدالعزيز آل سعود، والشعب السعودي والأمة الإسلامية؛ بمناسبة حلول شهر رمضان المبارك. وسأل…
كشف تقرير نشرته صحيفة “فايننشال تايمز” البريطانية، أن معظم العائلات في شمال قطاع غزة باتت تعتمد على علف الحيوانات والحشائش والصبار لسد رمقها، مع استفحال المجاعة بالقطاع. اعلانمع نفاد البضائع من المتاجر، وندرة وصول المساعدات الإنسانية إلى شمالي القطاع يعتبر المحامي إبراهيم الخرابيشي، الذي يسكن في مدينة جباليا، نفسه محظوظاً…
تبادل طرفا الحرب في السودان الاتهامات بشأن ملف الأسرى، ما يشي بأن الأزمة لا تزال بعيدة عن الحل. ونفى المتحدث باسم الجيش السوداني العميد نبيل عبدالله ما أثارته قوات الدعم السريع، أمس (الأحد)، بشأن رفض القوات المسلحة تسلم مئات الضباط والجنود الذين جرى أسرهم خلال المواجهات بين الطرفين.ووصف المتحدث العسكري،…
اشترك في النشرة البريدية
اشترك معنا في النشرة البريدية ليصلك جميع اخبار المملكة العربية السعودية والعالم لحظة بلحظة على بريدك الإلكتروني.












